新聞熱線:0855-8222000

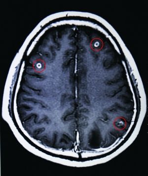
紅圈處為該青年腦中部分寄生蟲
2月18日,省二醫接診了一位來自廣西的青年,該病人稱自己經常頭暈無力,看不清東西。經掃描發現,該青年大腦中竟盤踞著19條寄生蟲。
據省二醫門診部王主任介紹,此病叫做“腦囊蟲病”,多見于青壯年——吃了豬肉中的豬肉絳蟲蟲卵,經消化道進入腸壁再進入腸系膜靜脈,最后經血液循環將蟲卵送到腦膜、腦實質以及腦室內。而患病青年也承認自己喜歡生吃豬血。
王主任告訴記者,此病雖不是什么疑難雜癥,且也不難醫治,發病初期僅靠藥物就可得到控制。但患病如不及時治療,腦組織及大腦中樞則易受損,進而引起頭疼、無力、肢體運動障礙癥狀,嚴重的會引發癲癇,視物不清,失明甚至死亡。
據介紹,在貴州省內部分地方,人們也很喜歡生吃殺豬后的“甜湯血”,即殺豬后位于豬胸腔里的成塊狀的血液。對此,王主任提醒市民,日常生活中要勤洗手,千萬不要生吃豬肉豬血,豬肉要炒熟。(記者徐其飛)
凡本網注明“來源:黔東南信息港”的所有作品,均為黔東南信息港合法擁有版權或有權使用的作品,未經本網授權不得轉載、摘編或利用其它方式使用上述作品。已經本網授權使用作品的,應在授權范圍內使用,并注明“來源:黔東南信息港”。違反上述聲明者,本網將追究其相關法律責任。
凡本網注明“來源:XXX(非黔東南信息港)”的作品,均轉載自其它媒體,轉載目的在于傳遞更多信息,并不代表本網贊同其觀點和對其真實性負責。