新聞熱線:0855-8222000
世衛組織發布最新提醒
猴痘病毒發生人際傳播

12個非猴痘流行國已報告病例
世界衛生組織21日發布猴痘疫情暴發預警稱,鑒于目前已在多個未流行猴痘病毒的國家發現病例,未來有可能在這些國家及其他國家發現更多病例,猴痘病毒將進一步傳播。

數據顯示,5月13日以來,世衛組織3個地區辦事處的12個未流行猴痘病毒的國家已報告了92例確診病例和28例疑似病例,迄今還沒有死亡病例。其中,確診和疑似病例主要來自英國、西班牙和葡萄牙,其余分布在澳大利亞、比利時、加拿大、法國、德國、意大利、荷蘭、瑞典和美國。
世衛組織稱,這些病例并無明確的猴痘流行地區旅行史,且主要但不限于發現在男男性行為者中。證據表明,感染風險最高的是在猴痘患者出現癥狀后與他們有過密切身體接觸的人群。

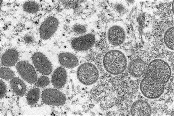
電子顯微鏡圖像下成熟的猴痘病毒(左)和未成熟病毒粒子(右)
英國衛生官員5月22日表示,英國每天都出現新增的猴痘病毒感染病例,這種病毒與前往西非旅行無關。猴痘病毒已在英國形成社區傳播。
美國《紐約郵報》消息,美國總統拜登22日首次就全球多國出現猴痘病例公開表態,他稱,事態值得關注,“令人擔憂的是,如病毒擴散,將造成嚴重后果”。

天花“親戚”
患者輕微發燒起膿皰
香港大學公共衛生學院副教授朱華晨介紹,猴痘是一個比較罕見的傳染病,跟天花是比較接近,可以說它們兩個是近親。
從癥狀上來講,它們之間有很多共性的地方,比如說,感染者會發熱、打冷顫,還有頭疼、肌肉疼、渾身疼等癥狀,也會出現感到疲憊的現象,有個別的感染者可能會出現咳嗽的癥狀。
最明顯的癥狀就是會起皮疹,從臉部開始擴散到全身各個地方,在四肢上會密密麻麻分布一些紅疹子,隨后會經歷化膿,最后結痂脫落。
猴痘病毒的傳播途徑最有可能是通過密切接觸。一般痘科的病毒,是一個自限性病毒,也就是說,它不會沒完沒了地一直感染下去,一般幾個星期后感染者就會自愈。雖然感染后有一定的病死率,像猴痘病毒,一般它的致死率大概是在1%—10%之間,并不算特別高。
專家提醒:嚴防輸入
世衛組織公報信息顯示,猴痘的潛伏期通常為6至13天,但可能為5至21天。
多位專家接受健康時報采訪時表示,面對全球多國出現散發猴痘,我國一定要守住“國門”,外防輸入很關鍵。復旦大學附屬兒科醫院感染科副主任醫師沈軍表示,近期應禁止可能傳播猴痘病毒的動物(包括嚙齒動物、非人靈長類動物,以下簡稱相關動物)入境,加強對來自疫區的入境交通工具、人員和貨物的檢疫。
華山感染微信號公眾號發文認為,科學家們正在密切關注病毒和疫情,特別關注的是病毒有沒有改變傳播途徑,就像當前疫情中可能發生的那樣。這次在歐美多國的新暴發可能是一個跡象,表明該病毒已經發生了變化——即使只是一點點——并可能增加其在人群中傳播的能力。
凡本網注明“來源:黔東南信息港”的所有作品,均為黔東南信息港合法擁有版權或有權使用的作品,未經本網授權不得轉載、摘編或利用其它方式使用上述作品。已經本網授權使用作品的,應在授權范圍內使用,并注明“來源:黔東南信息港”。違反上述聲明者,本網將追究其相關法律責任。
凡本網注明“來源:XXX(非黔東南信息港)”的作品,均轉載自其它媒體,轉載目的在于傳遞更多信息,并不代表本網贊同其觀點和對其真實性負責。